Let's be Together

Extra info thumb
  • 1547 Alfred Drive, New York
  • +718-219-9927
  • example@gmail.com

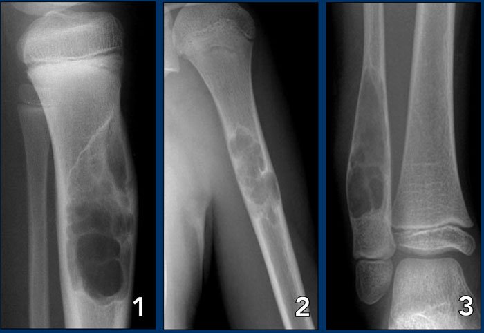
Bone Tumors

OilyTheme

Bone Tumors

Bone tumors, whether benign or malignant, can be a cause of serious concern due to their potential to affect mobility, bone strength, and overall health. Early identification and the right treatment approach are crucial to prevent complications and ensure the best outcomes. At Summit Orthopaedic Hospital, we specialize in the diagnosis, evaluation, and management of bone tumors, using a multidisciplinary approach that combines clinical expertise, advanced imaging, biopsy techniques, and evidence-based treatment planning. We are equipped to handle the entire spectrum of bone tumor cases.

OilyTheme