Let's be Together

Extra info thumb
  • 1547 Alfred Drive, New York
  • +718-219-9927
  • example@gmail.com

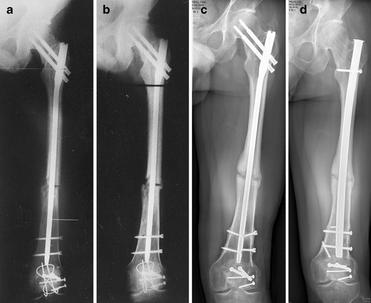
Non Union, Delayed Union, Malunited Fractures

OilyTheme

Non Union, Delayed Union, Malunited Fractures

These conditions cause significant morbidity to the patient and pose challenge to treating surgeon. Dr Ankur Rana has vast exposure in treatment of these conditions.

Non-union, delayed union, and malunited fractures can lead to long-term discomfort, limited mobility, and functional impairment, significantly affecting a patient’s quality of life. These complex conditions often require specialized surgical intervention and careful management. At Summit Orthopaedic Hospital, Dr. Ankur Rana brings extensive experience and clinical expertise in treating such challenging cases.

OilyTheme