Let's be Together

Extra info thumb
  • 1547 Alfred Drive, New York
  • +718-219-9927
  • example@gmail.com

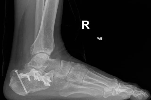
Foot Ankle Surgery

OilyTheme

Foot Ankle Surgery

Ankle and foot problems can be quite debilitating to the patient and may hamper day to day living activities of the patient. Hence early, accurate diagnosis and comprehensive treatment are utmost necessary.

Foot and ankle conditions can significantly impact a patient’s daily life, causing pain, instability, and difficulty with basic movements. At Summit Orthopaedic Hospital, we recognize the importance of early and accurate diagnosis in effectively managing these issues. Treatment plans tailored to each patient’s specific condition—whether it involves trauma, deformity, degenerative disorders optimal recovery and a return to normal function as quickly as possible.

Some of the most common foot and ankle problems treat at our hospital include

  • 1. Management of foot and ankle fractures
  • 2. Lisfrancs and ankle syndesmotic injury management.
  • 3. Management of flat foot, Charcot (diabetic ) foot, hallux valgus and other foot deformities.
  • 4. Malunited calcaneal fractures.
OilyTheme