Let's be Together

Extra info thumb
  • 1547 Alfred Drive, New York
  • +718-219-9927
  • example@gmail.com

Joint Preservation

OilyTheme

Joint Preservation

At Summit Opthopaedic Hospital, our focus is always on joint preservation. Timely diagnosis and expert management can defer or delay joint replacement. We are deeply committed to the philosophy of joint preservation, aiming to maintain the natural structure and function of joints for as long as possible. Rather than immediately resorting to joint replacement, our approach focuses on early intervention, accurate diagnosis & personalized treatment strategies tailored to each patient’s specific condition. Their initial stages through conservative methods such as physiotherapy, medication, regenerative treatments, and lifestyle guidance, we help minimize pain, improve mobility, and delay the need for surgical solutions.

Some of the common joint preservation surgeries done include :

Early stages of AVN hip : Core decompression with other procedures like PRP instillation,BMAC instillation, fibular strut grafting, live fibular grafting.

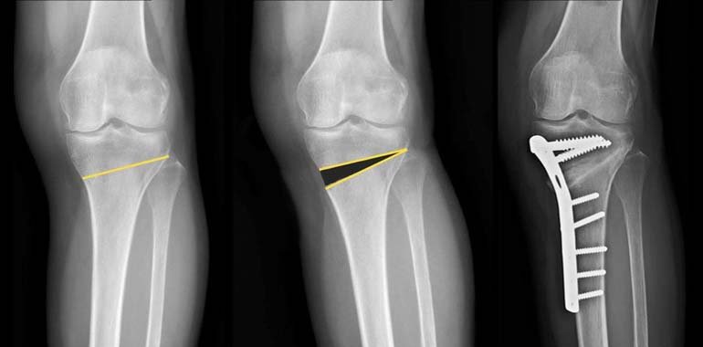
Knee preservation surgeries include :

Intraarticular injections of PRP, Viscosupplementation (hyaluronic acid injection), Stem cells injection.

Corrective osteotomies : HTO, TCVO

Managing chondral lesions by microfracture, OATS, ACI

Microplasty (unicondylar knee joint replacement)

OilyTheme